Gallery

Image Gallery //

Case1_Foto-1-v2
Case1_Foto-4
Case1_Foto-2
Case1_Foto-5
Case1_Foto-3
Case1_Foto-6
Case1_Foto-1-v2 Case1_Foto-4 Case1_Foto-2 Case1_Foto-5 Case1_Foto-3 Case1_Foto-6

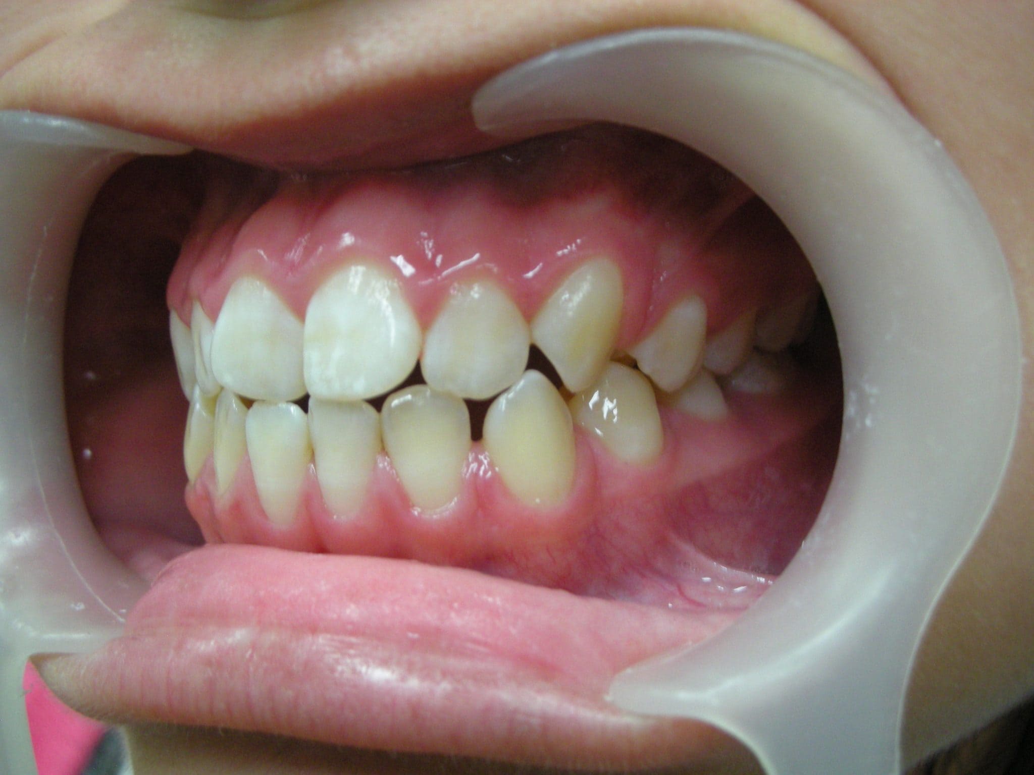
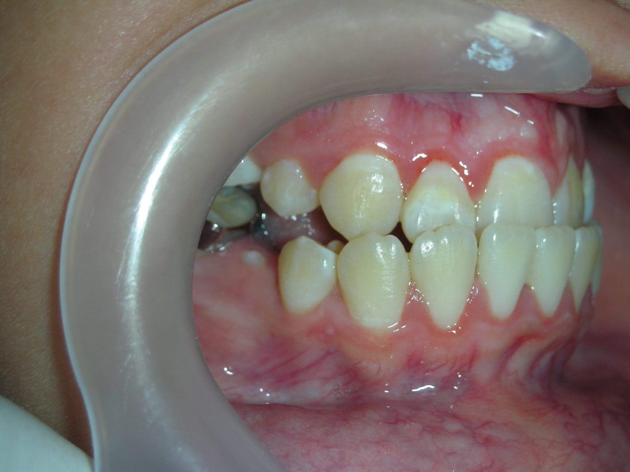
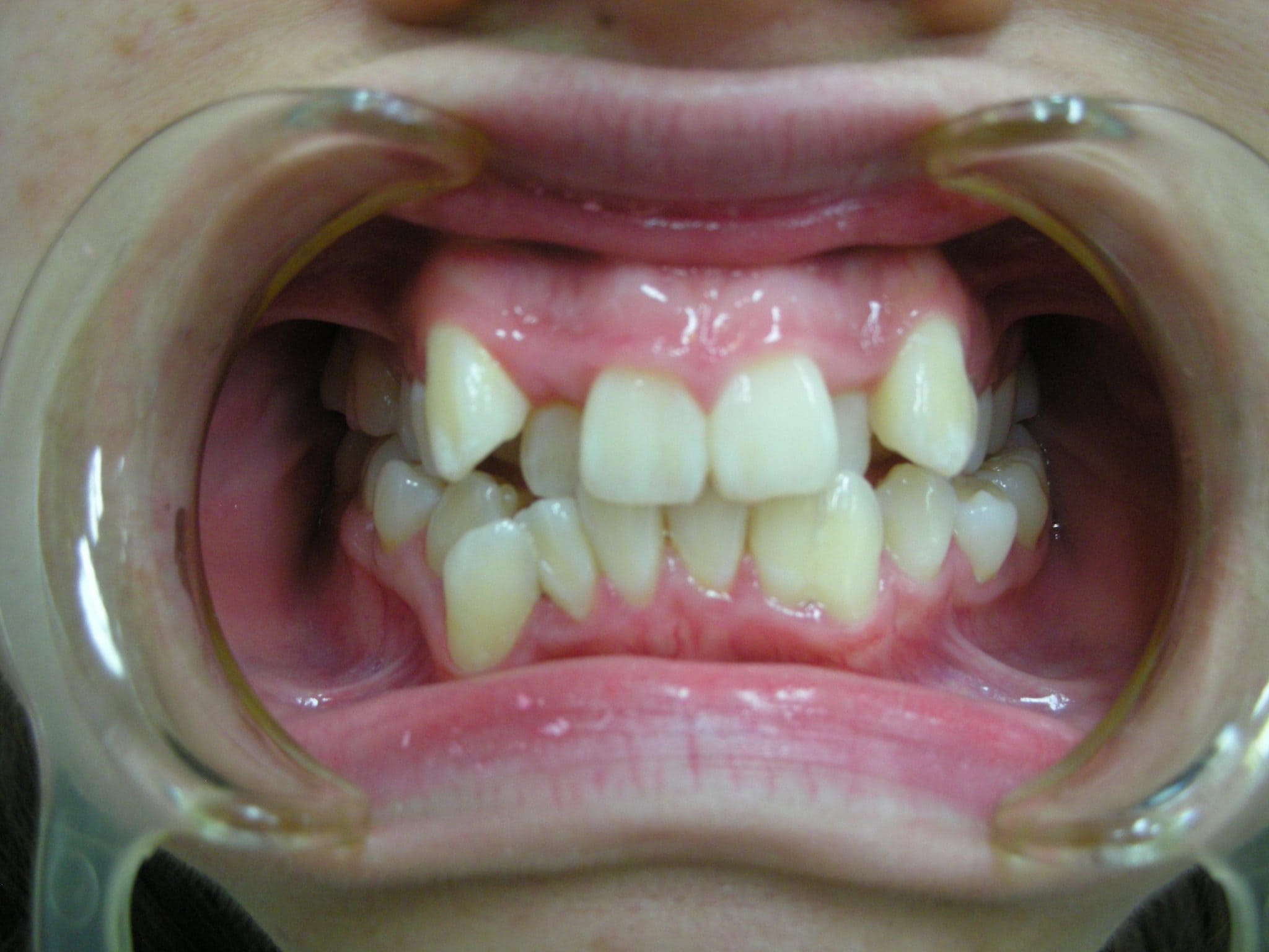
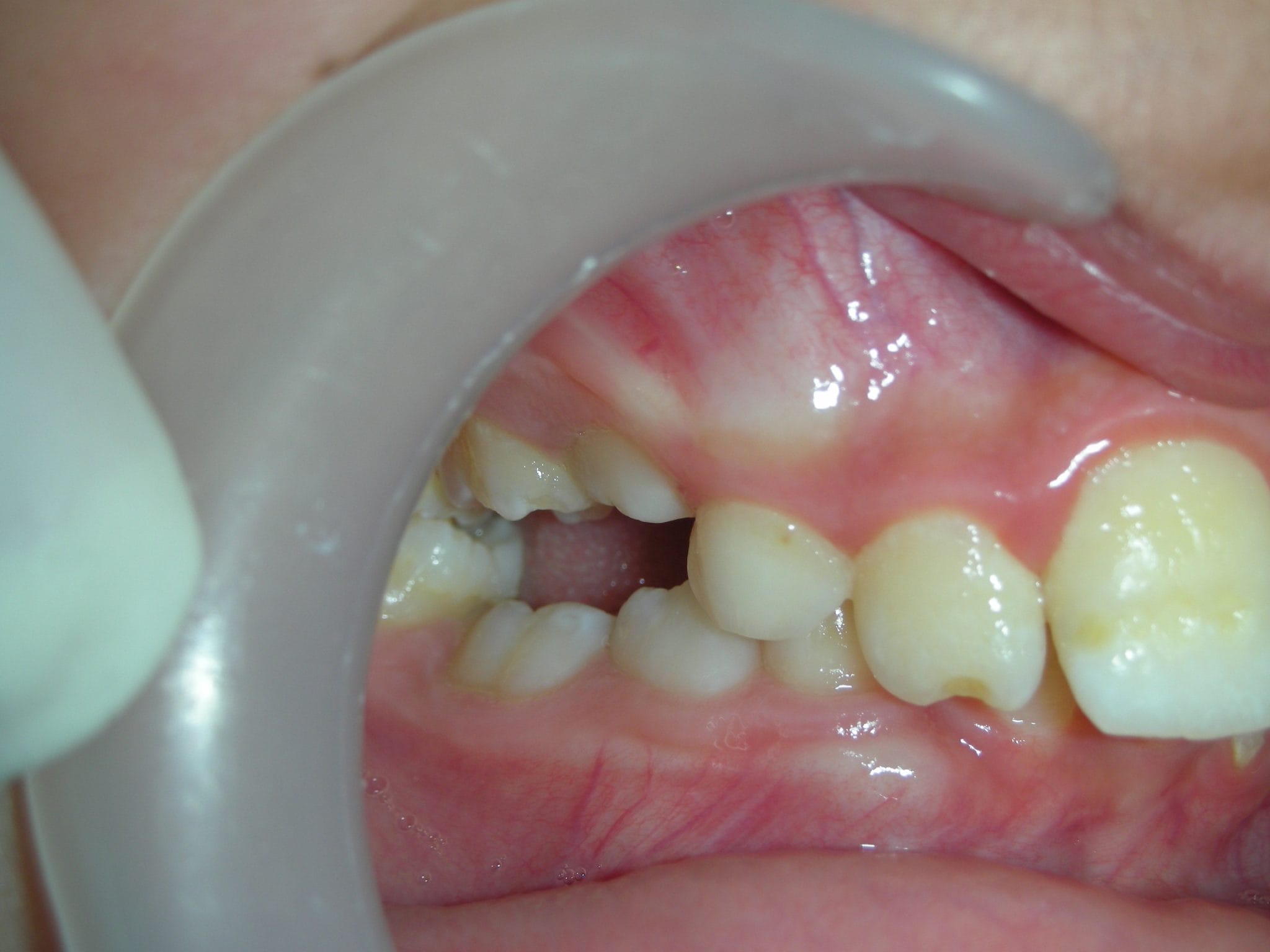
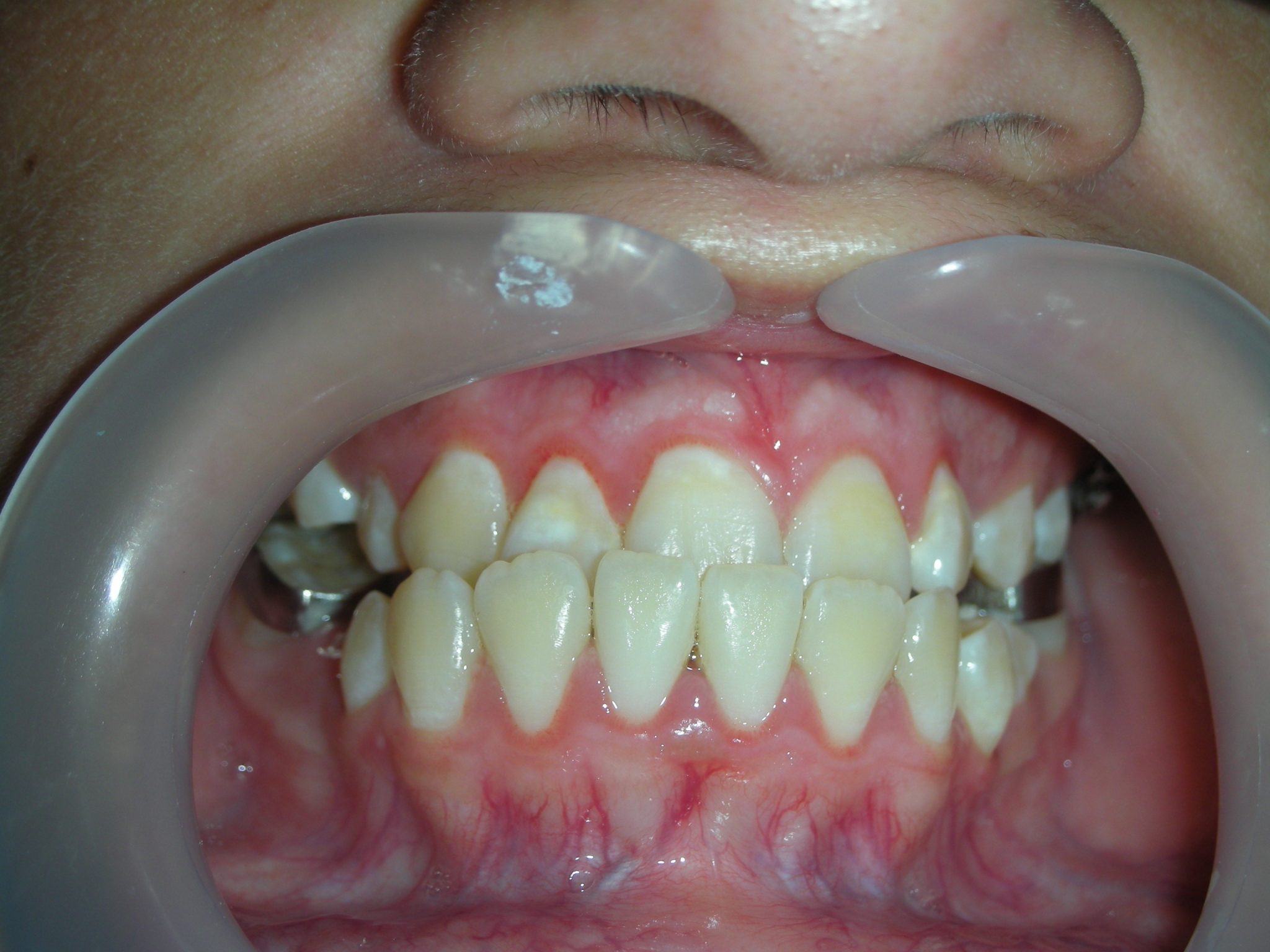
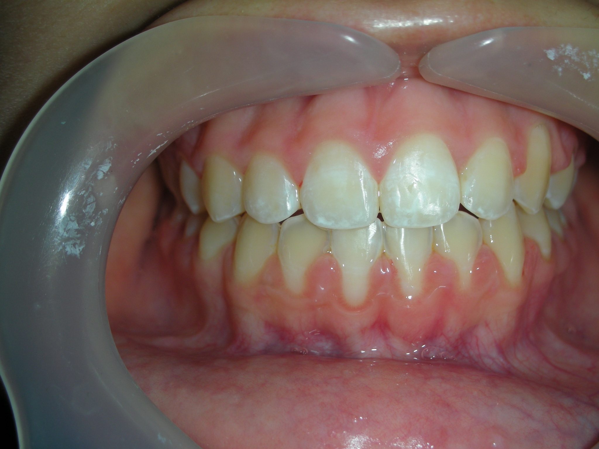
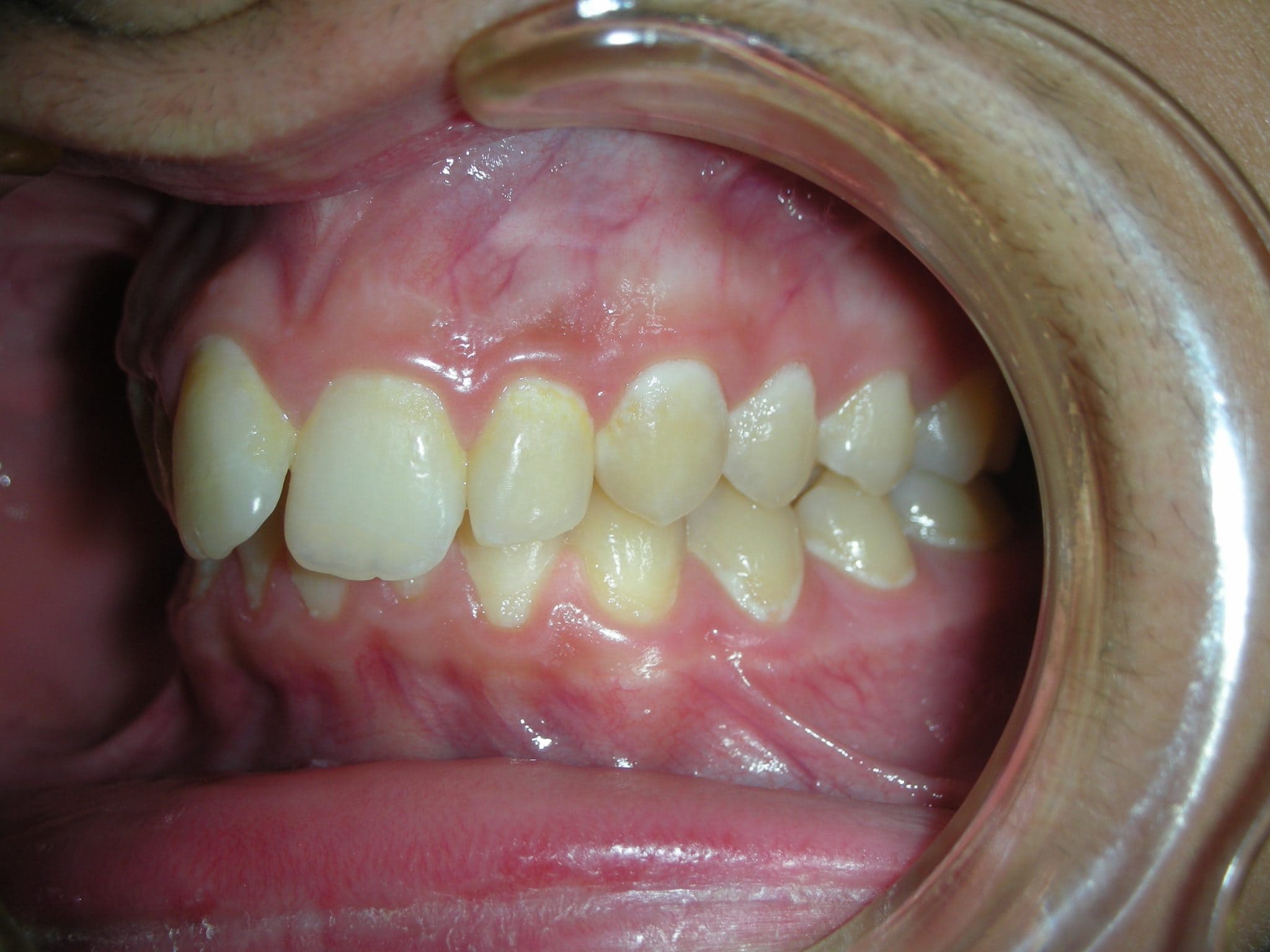
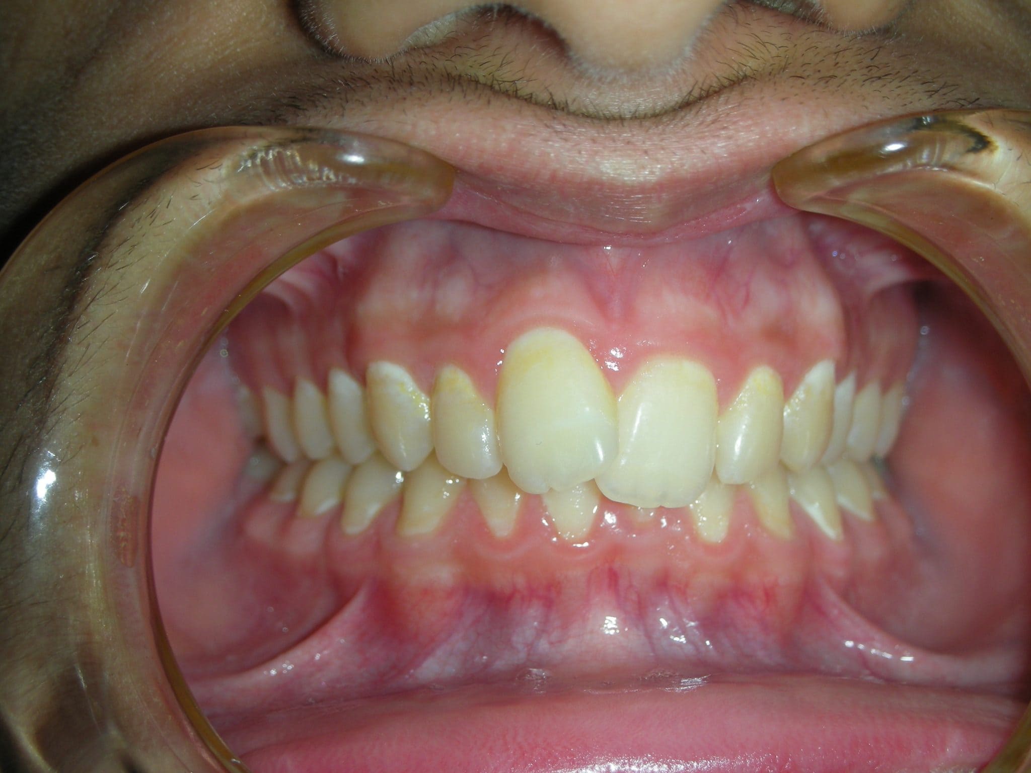
Case #1

12 years old patient presented moderate crowding, increased overbite and an impacted lower second molar.

The treatment involved the use of fixed appliances and  the only extraction required was the removal of the lower left wisdom tooth to align the impacted second molar.

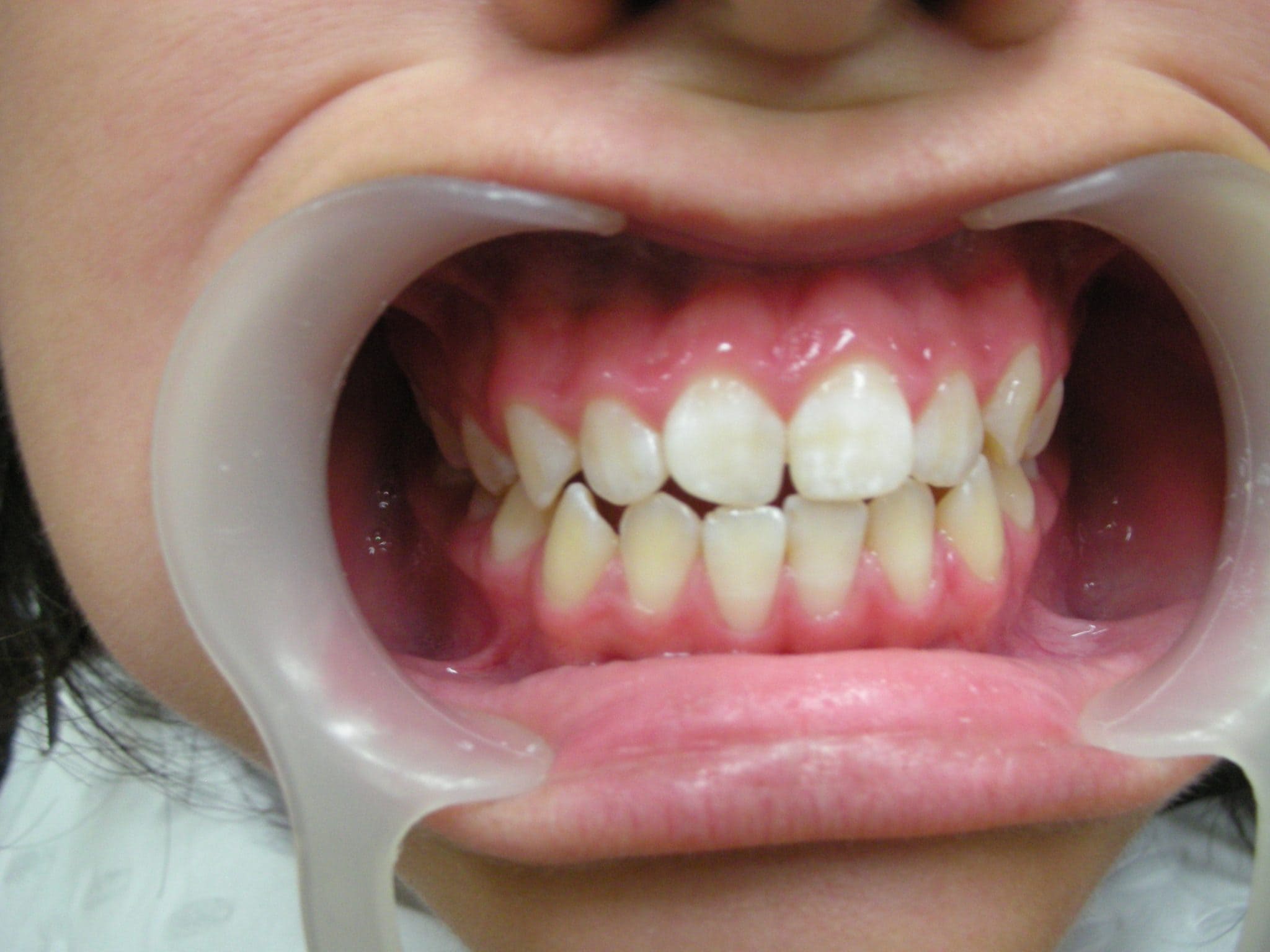
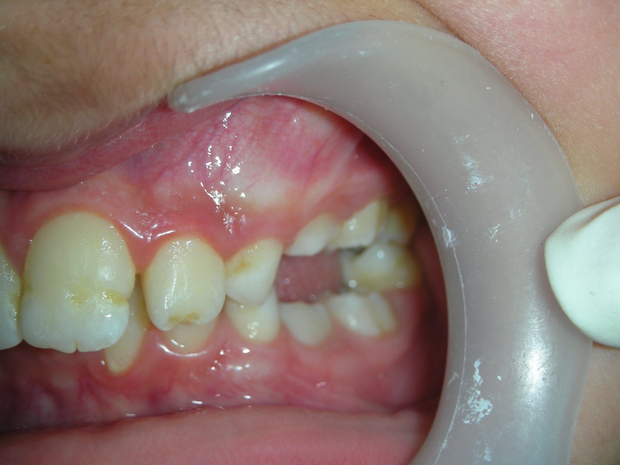
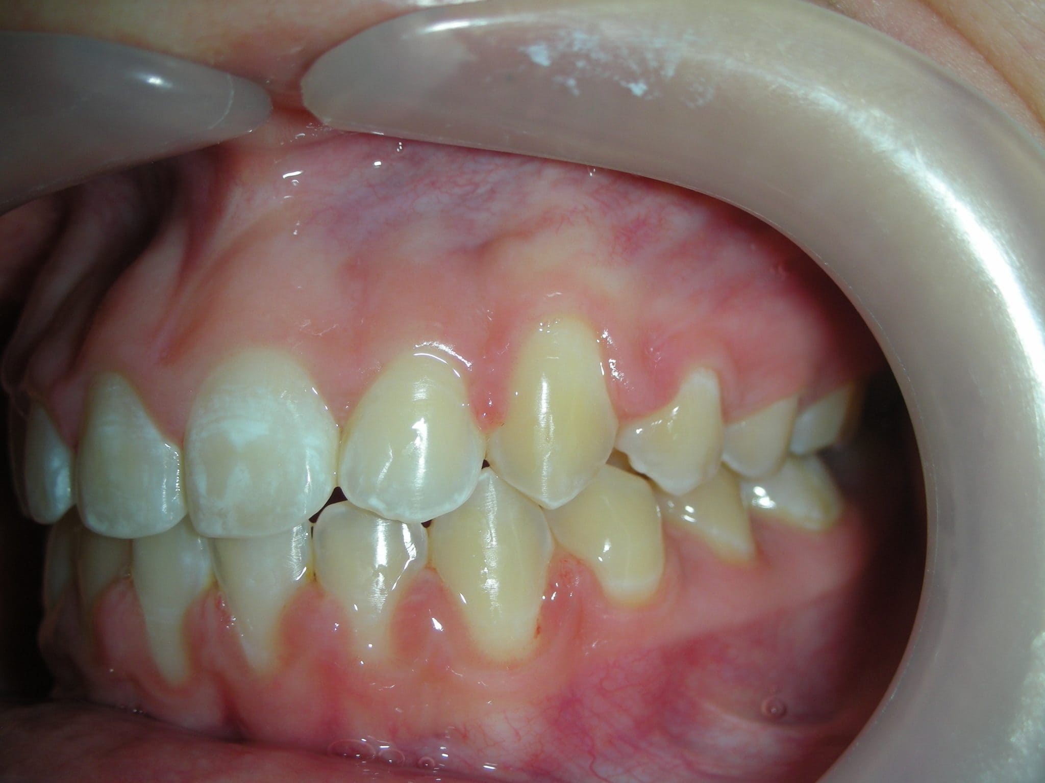
Case #2

Patient attended at age 13. Crowding in the upper and lower jaw and anterior crossbite. There was a tendency to an open bite due to an abnormal swallowing pattern.

Fixed aapliances allowed us to correct the malocclusion in conjunction with muscular reinforcement by a Speech  Therapist

Case2_CO-Foto-5
Case2_CO-Foto-2
Case2_CO-Foto-6
Case2_CO-Foto-4
Case2_CO-Foto-3
Case2_CO-Foto-5 Case2_CO-Foto-2 Case2_CO-Foto-6 Case2_CO-Foto-4 Case2_CO-Foto-3
Case3_PA-Foto-1
Case3_PA-Foto-2
Case3_PA-Foto-3
Case3_PA-Foto-4
Case3_PA-Foto-5
Case3_PA-Foto-6
Case3_PA-Foto-1 Case3_PA-Foto-2 Case3_PA-Foto-3 Case3_PA-Foto-4 Case3_PA-Foto-5 Case3_PA-Foto-6

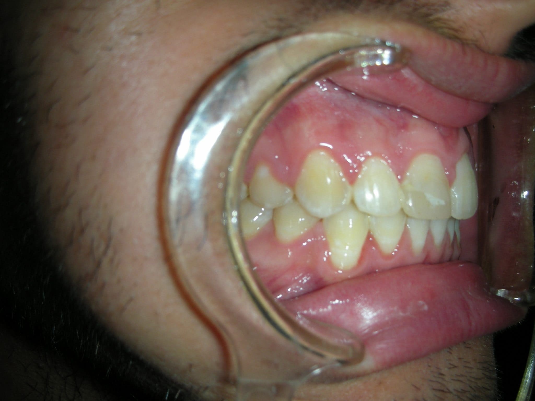
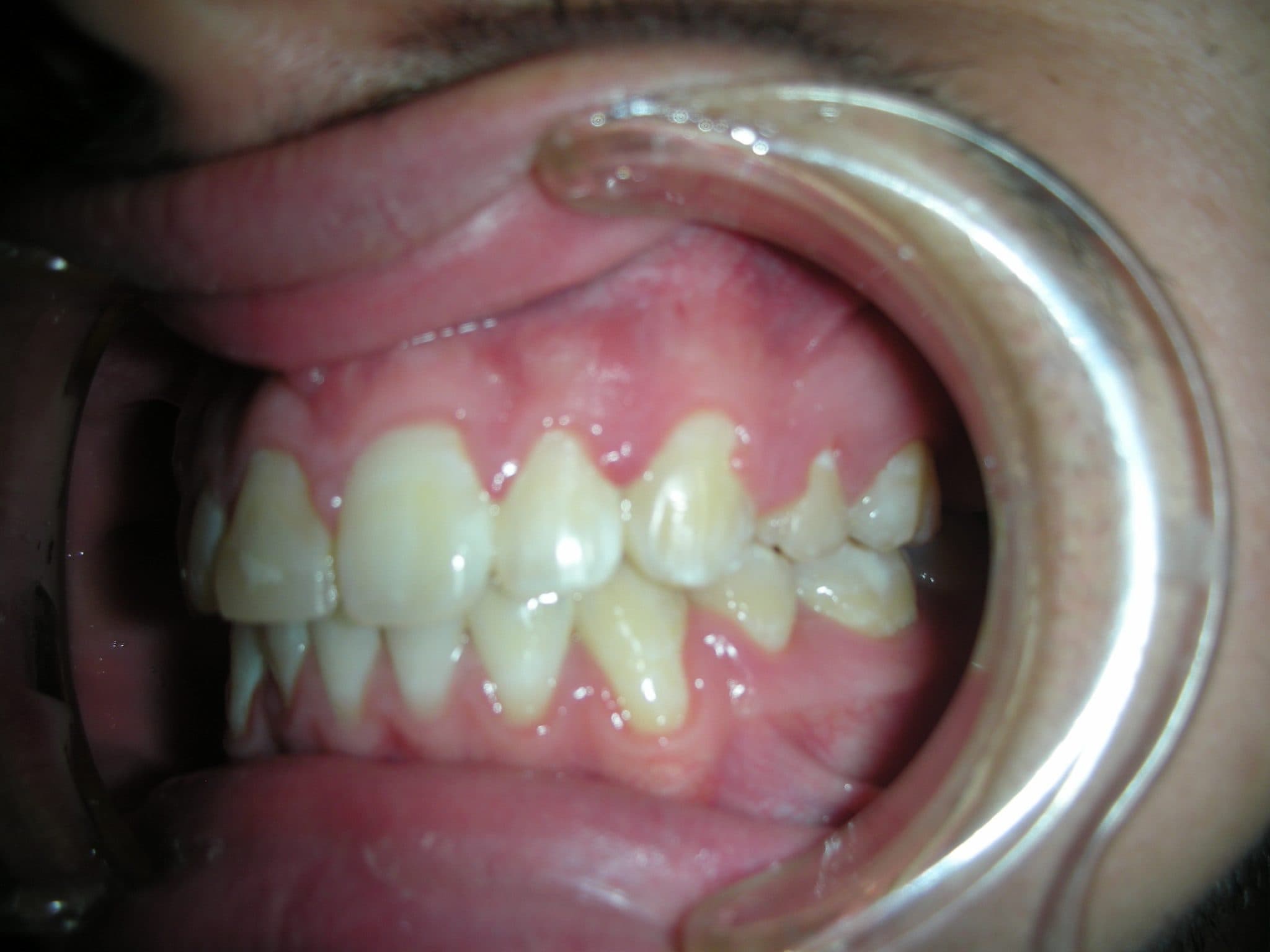
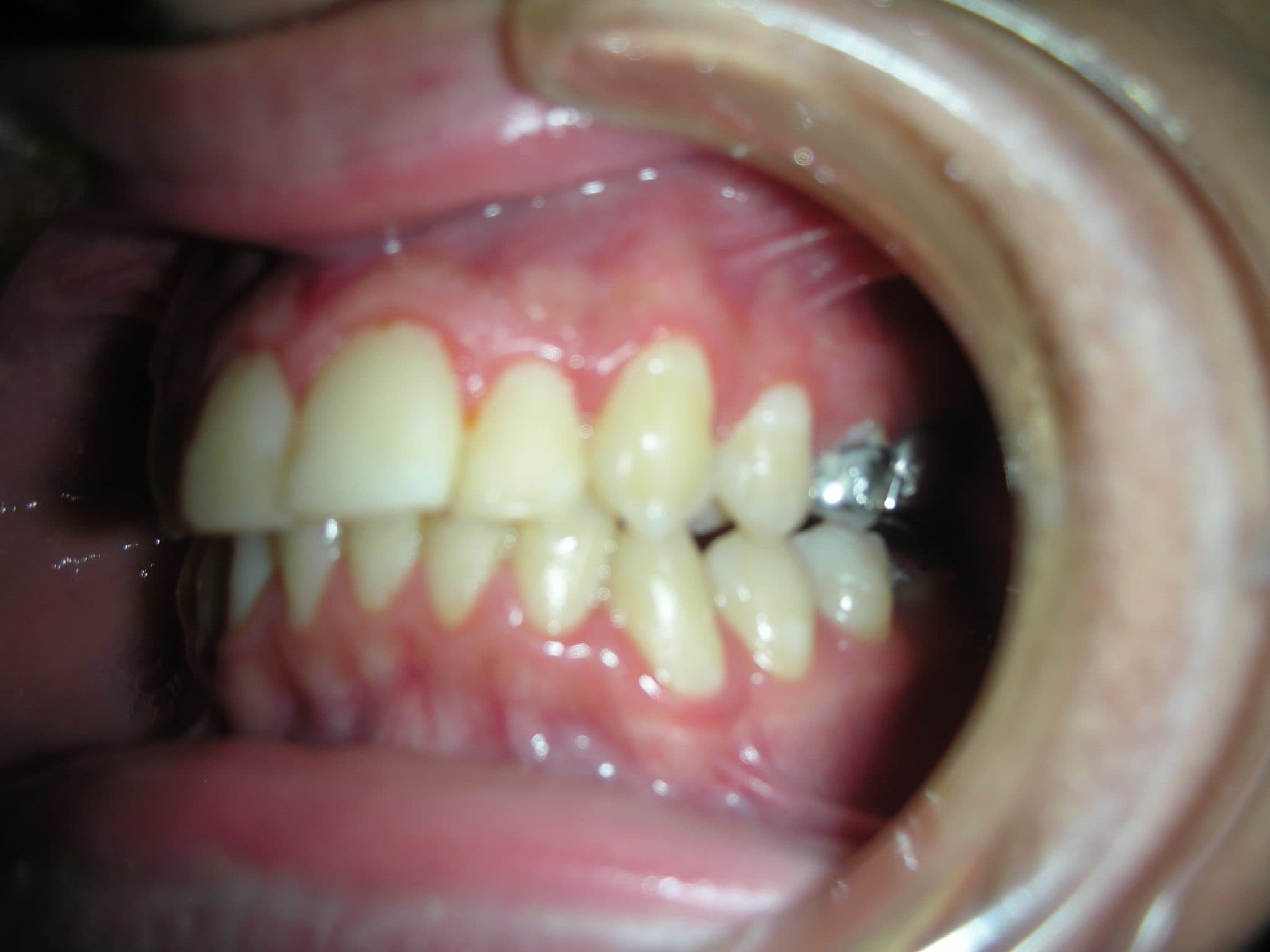
Case #3

Patient started her Orthodontic treatment overseas. So we needed to explain local protocols and after good communication and agreeable terms; we continue and completed her treatment.

We tend to see more of these situations so open and frank Communication is of paramount importance.

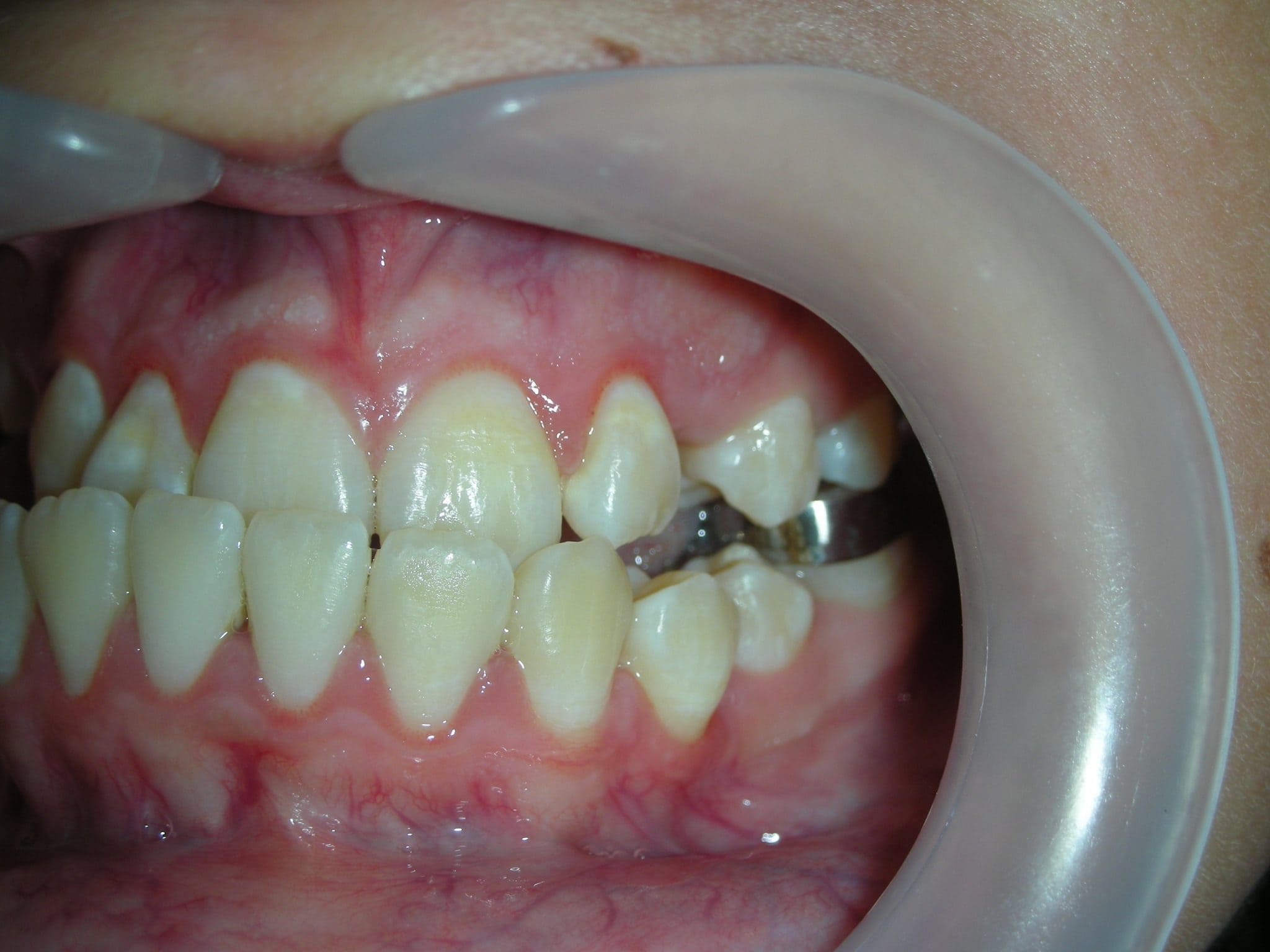
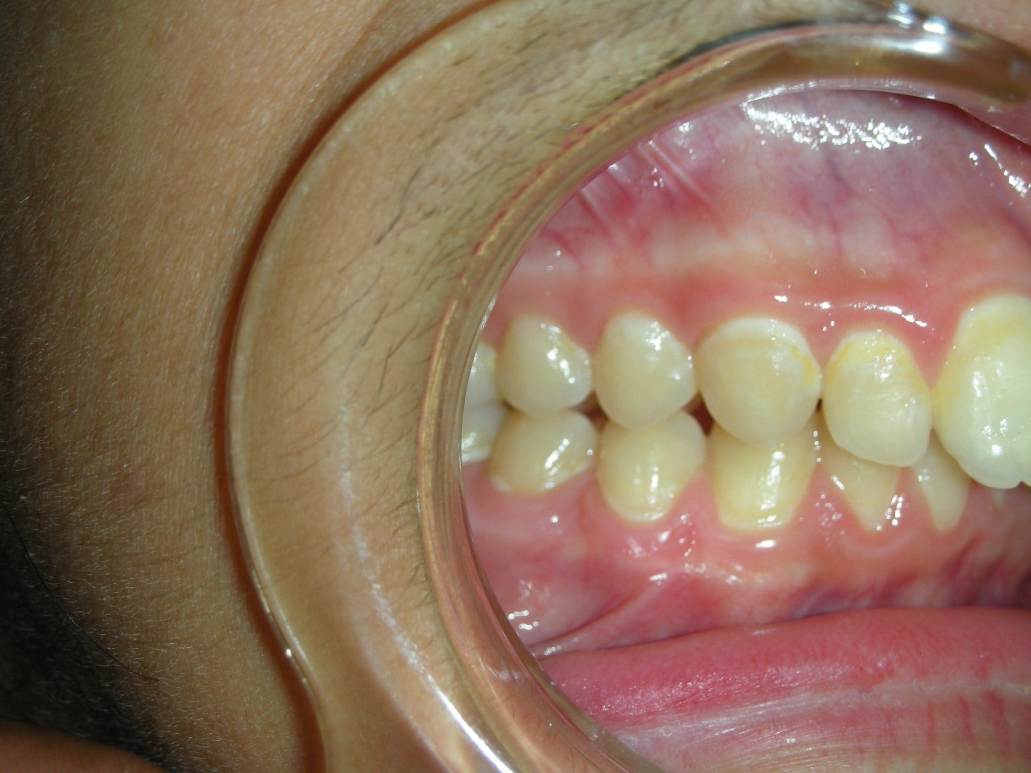
Case #4

18 years old patient, complained of crowding and full lips. We needed to remove two upper premolars to be able to achieve more harmonious facial proportions.

Case4_CP-Foto-4
Case4_CP-Foto-3
Case4_CP-Foto-5
Case4_CP-Foto-2
Case4_CP-Foto-6
Case4_CP-Foto-1
Case4_CP-Foto-4 Case4_CP-Foto-3 Case4_CP-Foto-5 Case4_CP-Foto-2 Case4_CP-Foto-6 Case4_CP-Foto-1
Case5_IS-Foto-4
Case5_IS-Foto-1
Case5_IS-Foto-6
Case5_IS-Foto-3
Case5_IS-Foto-5
Case5_IS-Foto-2
Case5_IS-Foto-4 Case5_IS-Foto-1 Case5_IS-Foto-6 Case5_IS-Foto-3 Case5_IS-Foto-5 Case5_IS-Foto-2

Case #5

Patient presented with a Cl II div 1 type of malocclusion due to a retruded mandible, narrow upper arch, protruded upper anterior incisors and retruded lower ant teeth and deep bite. He also had a lip bite habit.

We started with a functional appliance to encourage correction of the skeletal problem followed  by fixed appliances. Extraction of teeth, were not required. Patient was quite compliant in the use of his removable appliances.

Case #6

Patient initially presented as an 8 years old boy with a severe Malocclusion due to a retruded mandible, increased overbite and overjet. He also had hypoplastic anterior teeth and first permanent molars.

He received preventive and restorative treatment by a Paediatric dentist.

We attempted using removable appliances to deal with some of the issues associated with this orthodontic problem but we were unsuccessful so we decide to stop treatment until the patient reached a more mature age.

The patient as a young person eventually asked to have orthodontic treatment; so we proceeded to treat him using fixed appliances, not only the standard braces but also a fixed functional appliance so we didn’t need to rely on patient’s cooperation.

Case6_VS-Foto-3
Case6_VS-Foto-4
Case6_VS-Foto-2
Case6_VS-Foto-6
Case6_VS-Foto-1
Case6_VS-Foto-5
Case6_VS-Foto-3 Case6_VS-Foto-4 Case6_VS-Foto-2 Case6_VS-Foto-6 Case6_VS-Foto-1 Case6_VS-Foto-5
Case7_CS-Foto-4
Case7_CS-Foto-1
Case7_CS-Foto-5
Case7_CS-Foto-2
Case7_CS-Foto-6
Case7_CS-Foto-3
Case7_CS-Foto-4 Case7_CS-Foto-1 Case7_CS-Foto-5 Case7_CS-Foto-2 Case7_CS-Foto-6 Case7_CS-Foto-3

Case #7

Skeletal Class III malocclusion (larger than normal lower jaw and smaller upper jaw), compounded by severe upper crowding, and bilateral posterior cross bite. Due to the severity of the problem Orthognatic Surgery was required. The treatment of this patient involved fixed appliances to align the teeth, expansion  of  the upper jaw, preparation for surgery and completion of the treatment after surgery.

Our gratitude to the late Professor Mc Kellar, Dr Richard Conway and Dr Stuart Deane.

(Oral and Maxillofacial Surgery. Westmead Hospital).

Case #8

20-year-old patient, presented with severe crowding, posterior cross bite, a wide lower arch and fused lower anterior teeth.

We decided to proceed without removing any tooth.

We reshaped and filled the fused lower anterior teeth at the end of the Orthodontic treatment.

civic plaza dental care
Case8_VW-Foto-3
Case8_VW-Foto-4
Case8_VW-Foto-1
Case8_VW-Foto-5
Case8_VW-Foto-2
civic plaza dental care Case8_VW-Foto-3 Case8_VW-Foto-4 Case8_VW-Foto-1 Case8_VW-Foto-5 Case8_VW-Foto-2